赛特力 Newtron超声洁牙机之预防篇
浏览量:217 发布日期:2025-12-13
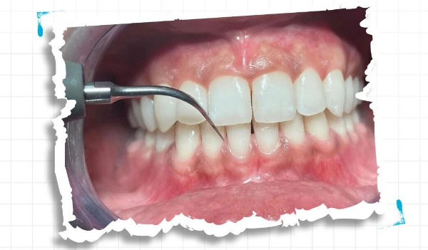
我们获得过专利的neWtron 技术:
1、保护牙釉质
2、即使在最轻的负荷下也能精确有效地进行治疗
3、让患者在治疗时感觉非常舒适
4、频率范围广且可提供多种不同的工作尖,拥有多种治疗功能。
作为预防工作流程的核心,Newtron可帮助口腔专业人士执行安全的微创手术,为患者提供最佳护理和舒适。
蓝色设置>高功率>高振幅
1、生物膜破坏
2、牙周治疗和维护
3、去除牙结石


适用于龈上洁治、清除生物膜和软沉积物。ACTEON Prophylaxis Tips 提供的尖头种类繁多,令人目不暇接。



