左下后牙根管再治疗经验
浏览量:246 发布日期:2025-10-19
病例摘要
患者性别:女 年龄:33岁
主诉:左下后牙反复隐隐不适一年
现病史:患者自诉左下后牙外院根管治疗两次,近一年来隐隐不适,
不敢咬合,遂至我院就诊。
既往史:外院看牙史,既往体健。

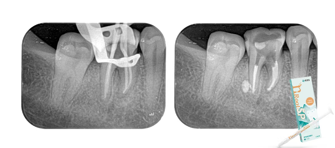
检查:颌面可见外院牙色充填物,颊侧黏膜可见一瘘管,
无松动,叩 (+) ,冷测:无反应,余无异常; CBCT片示:根尖可见大面积低密度暗影。
说明:怀疑失败原因--未行冠修复,导致微渗漏,预备
宽度不足,未能完全清创,化学预备不够,疑似侧枝根管清理不到位,不排除隐裂可能性。
诊断
慢性根尖周炎/牙体缺损
治疗方案
1、建议:根管再治疗+冠修复
2、观察使用,症状加重就诊
第一次就诊

涡轮机去除冠部修复体,再治疗锉去除根管内大部分充填物,
未能完全疏通,ZOE暂封
第二次就诊

上障,去封,手用C锉疏通根管全长,
机用锉扩至5004#,3%NaClO+17%EDTA冲洗液彻底化学预备,
赛特力P5活化,蒸馏水置换后干燥根管,
封入恩普诺氢氧化钙根管消毒糊剂,特氟龙+玻璃离子暂封,两周复诊。
第三次就诊

涡轮机去除封药,3%NaCIO荡洗,蒸馏水置换,试尖,干燥根管,
恩普诺nRootSP单尖法充填,特氟龙+玻璃离子暂封。
第四次就诊

观察一月无症状后,上障,
涡轮机去除封药后,全酸蚀,涂布3M第八代粘接剂,
F00+LS内部重建,牙体预备,制作全瓷冠。
第五次就诊

去除暂冠,清洁基牙,隔湿,玻璃离子粘接。
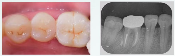
2个月复查

治疗后两月完成最终修复,临床检查无症状,行使功能良好;通过根尖片可见根尖低密度暗影有改善,根分叉处及牙周膜增宽影像呈现愈合趋势;
除了糊剂些许溢出外,一切良好,得益于nRootSP良好的性能。
4个月复查

戴牙四月复查,可见修复体及牙周情况良好,
正常行使功能,日常使用无异常。
8个月复查

治疗术后八月复查,糊剂固化稳定,
根分叉处及牙周膜影像较术后两月有明显改变。
总结讨论
对于此类再治疗病例,从CBCT上来看,长度与宽度影像呈现是不能看出有明显欠缺的,这与CBCT的呈像因素有关,CBCT因为高密度影像的放大,会觉得充填致密,根尖欠填的有时候容易被错误的评估为恰填,所以拍摄根尖片也是很有必要的,根管欠填并不是评价治疗成功与否的关键性因素,它与患者的全身状态、身体条件、患牙感染程度、机械化学预备及充填材料的选择有关,在面对诸如此类病例,以当今行业现象,或许拔除种植也不失为一个好的方案,因为再治疗充满了许多不可控因素,尤其是转诊三四次再治疗。
但患者愿意尝试保留患牙,同时也给我们一个充满挑战的机会!




